Celula 1

🧫Història de la cèl·lula

  • 🔬Primers microscopi

    🔬Primers microscopi

    El primer microscopi va ser un utensili senzill i fàcil d’emprar, però que va ajudar molt poder descobrir algunes coses que a ull no es poden veure, com per exemple les cèl·lules mortes que són aquelles cèl·lules que formen una capa de la pell i s’han mort dificultant la respiració de la pell. Zacharias Janssen a l'any 1590, mentre Robert Hooke va utilitzar el terme cèl·lula per primer cop.
  • Period: to

    Perfecció dels microscopis i tècniques de tinció

    Els microscopis van anar millorant-se fins a arribar als microscopis electrònics d’avui en dia.
    Les tècniques de tinció van permetre obtenir imatges mÊs nítides de les cèl¡lules, com la tècnica de Gram, inventada per Hans Christian Gram el 1884.
  • 🦠ObservaciĂł primeres cèl¡lules vives i 🔬microscopi 200 arguments

    🦠Observació primeres cèl·lules vives i 🔬microscopi 200 arguments

    L’holandès Zacharias Janssen va construir el microscopi de 200 augments, aquest va permetre veure coses més detallades i més petites, mentre que Anton Van Leeuwenhoek (1632-1723) va descobrir i descriure la vida microscòpica l'any 1657.
  • PublicaciĂł dibuixos cèl¡lules mortes

    Publicació dibuixos cèl¡lules mortes

    Les cèl¡lules van ser descobertes per Robert Hooke al 1665, que els hi va posar aquest nom perquè li recordaven a habitacions o cel¡les d'un monestir.
    Aquest va fer un dibuix representant el que havia vist a travĂŠs del microscopi.
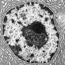
  • Descobriment del nucli cel¡lular

    Descobriment del nucli cel¡lular

    Robert Brown, observant grans de pol·len, espores de molses, i Equisetum suspesos en aigua al microscopi, va observar diminutes partícules amb vacúols als grans de pol·len executant un continu moviment aleatori. El nucli conté tot el genoma, estructurats en llargues molècules lineals d’ADN que formen complexos. El nucli manté la integritat dels gens i regula l'expressió gènica per controlar-ne les activitats.
  • ObservaciĂł del citoplasma

    ObservaciĂł del citoplasma

    Johannes E. Purkinje va observar el citoplasma l’any 1838. El citoplasma és el líquid gelatinós que omple l'interior d'una cèl·lula. Està compost per aigua, sals i diverses molècules orgàniques. La principal funció del citoplasma és contenir els orgànuls cel·lulars i permetre'n el moviment.
  • AfirmaciĂł de que els vegetals estan formats per cèl¡lules

    Afirmació de que els vegetals estan formats per cèl¡lules

    Matthias Jakob Schleiden era un botànic que va estudiar les plantes al microscopi i va concebre la idea que estaven compostes per unitats reconeixibles o cèl¡lules. El 1838, va afirmar que el creixement de les plantes es produeix per la generació de noves cèl¡lules a partir dels nuclis cel¡lulars de les velles.
  • 🧬TEORIA CEL¡LULAR

    🧬TEORIA CEL·LULAR

    Theodor Schwann va ser un naturalista, fisiòleg i anatomista prussià, considerat un dels fundadors de la teoria cel¡lular.
    POSTULATS DE LA TEORIA CEL¡LULAR:
    1) Tots els Êssers vius estan formats per una o mÊs cèl¡lules.
    2) Una cèl¡lula Ês pot formar a partir d'una altra
    3) La cèl¡lula Ês la forma de vida mÊs petita.
    4) Cada cèl¡lula contÊ informació genètica completa.
  • AfirmaciĂł de que els animals estan formats per cèl¡lules

    Afirmació de que els animals estan formats per cèl¡lules

    Theodor Schwann va ser un naturalista, fisiòleg i anatomista prussià, considerat un dels fundadors de la teoria cel¡lular. Va estendre la teoria cel¡lular elaborada per M. J. Schleiden als organismes animals, va estudiar el procÊs de la fermentació i va demostrar que era el resultat dels processos vitals de les cèl¡lules del llevat.
  • Les cèl¡lules s'originen Ăşnicament d'altres preexistents

    Les cèl¡lules s'originen únicament d'altres preexistents

    Rudolf Virchow va demostrar que les cèl·lules sorgeixen d’una altra cèl·lula anterior, és a dir, una planta només pot sorgir d’una altra planta i un animal d’un altre anima
  • Cèl¡lula unitat bĂ sica, estructural i morfològica

    Cèl¡lula unitat bàsica, estructural i morfològica

    Schleiden (1838) y al zoólogo Schwann (1839) van considerar que tots els Êssers vius estan construïts per una o mÊs cèl¡lules.
  • ConsideraciĂł de la cèl¡lula unitat bĂ sica fisiològica i funcional.

    Consideració de la cèl¡lula unitat bàsica fisiològica i funcional.

    Brucke va dir que la cèl¡lula Ês la unitat mÊs elemental de vida. La cèl¡lula, per tant, es nodreix, es relaciona i es reprodueix.