Bilogia

35 eventos importantes en la historia de la bilogía

  • Verdadero Biólogo de la Antiguedad
    130

    Verdadero Biólogo de la Antiguedad

    Galeno130-200) es considerado el verdadero biólogo de la antiguedad, fue un cirujano de gladiadores, lo que le permirió observar la antamía humana. Estas disecciones las hacía con fines cientificos y no solo disecaba humanis, también disecaba perros, ovejas, y monos, este ultimo adevertía la semejanza de este animal con el hombre.
  • Aristóteles especula sobre la naturaleza de la reproducción y la herencia
    323

    Aristóteles especula sobre la naturaleza de la reproducción y la herencia

    postuló que el semen del macho estaba formado por ingredientes imperfectamente mezclados, algunos de los cuales fueron heredados de generaciones pasadas. En la fecundación, propuso, el semen masculino se mezclaba con el "semen femenino", el fluido menstrual, dándole forma y potencia a la sustancia amorfa. A partir de este material se formaba la carne y la sangre. varias etapas de la coagulación del embrión a partir de la mezcla del semen materno y paterno.
  • Descubrimiento del microscopio

    Descubrimiento del microscopio

    El microscopio fue inventado por un fabricante de anteojos de origen holandés, llamado Zaccharias Janssen, alrededor del año 1590. En 1655, el inglés Robert Hooke creó el primer microscopio compuesto, en el cual se utilizaban dos sistemas de lentes, las lentes oculares (u ocular) para visualizar y las lentes objetivos. Publicó Micrographia, el primer libro en el que se describían las observaciones de varios organismos realizadas a través de su microscopio.
  • Primer estudio de los gases

    Primer estudio de los gases

    Jan Baptista van Helmont fue el primero en estudiar los gases. Fue inventor de la palabra " gas" y descubrió un vapor que denomino spiritus sylvestris ( espirito de la madera), es el gas llamado anhibrido carbónico, fuente más importante para la vida de los vegetales-
  • La circulación de la sangre

    La circulación de la sangre

    Harvey publicó un breve libro de sólo setenta y dos paginas, impreso en Holanda el titulo: Moru Cordis et Sanguinis( de los movimientos del corazón y de la sangre). Fue un libro revolucionario en perfecta armonía con los nuevos tiempos.
  • Los seres vivos están compuestos por células

    Los seres vivos están compuestos por células

    En 1655, el inglés Robert Hooke descubrió, a través de un microscopio primitivo, que un corcho estaba formado por celdas. Dos siglos después, en 1838, los científicos Matthias Schleiden y Theodor Schwann señalaron que las plantas y animales están compuestos de grupos de células, las cuales son la unidad básica de los organismos vivos.
  • Descubrimiento de la celula

    Descubrimiento de la celula

    Robert Hooke publicó los resultados de sus observaciones sobre tejidos vegetales, como el corcho, realizadas con un microscopio de 50 aumentos construido por él mismo. Este investigador fue el primero que, al ver en esos tejidos unidades que se repetían a modo de celdillas de un panal, las bautizó como elementos de repetición, «células» (del latín cellulae, celdillas). Pero Hooke sólo pudo observar células muertas por lo que no pudo describir las estructuras de su interior.
  • Los microorganismos

    Los microorganismos

    Microscopio lentes amoladora Anton Van Leeuwenhoek descubre accidentalmente los microorganismos en una gota de agua. Usando sus propios microscopios, observa el esperma, las bacterias y los glóbulos rojos. Sus observaciones sentar las bases para las ciencias de la bacteriología y microbiología.
  • descubre los espermatozoides

    descubre los espermatozoides

    El espermatozoide fue descubierto en forma accidental por un estudiante de Medicina holandés de nombre Johan Ham en 1675, quién creyó ver en él un producto de descomposición con
    gusanos móviles, denominándolos “animales seminales”
  • Se confirma la reproducción sexual de las plantas.

    Se confirma la reproducción sexual de las plantas.

    La cual es generada mediante el intercambio genético. En el proceso existe unión entre los gametos y un desarrollo embrionario, el cual da lugar a un nuevo organismo.
  • Paleontologia

    Paleontologia

    Cuvier contaba con los huesos de ciclópeos mastodontes y otras criaturas aún más raras, desaparecidas de la faz de la Tierra. Llegó a ser habilísimo en interpretarlos y cautivó a la ciencia con su capacidad de reconstruir un animal partiendo de un puñado de huesos. Y al hacerlo, inventó otra disciplina científica: la paleontología. Demostró que el planeta había estado habitado por extraños animales en el pasado remoto y que se habían extinguido por cadenas de cataclismos.
  • Fotosíntesis

    Fotosíntesis

    Jan Ingenhousz descubre que las plantas reaccionan a la luz solar de manera diferente a la sombra. Las bases de la comprensión de la fotosíntesis de nacer. La fotosíntesis es un proceso en el cual las plantas, algas y algunas bacterias convierten la energía de la luz en energía química. En las plantas, las hojas absorben dióxido de carbono y las raíces absorben el agua.
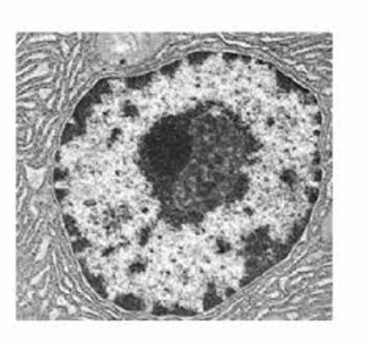
  • El núcleo de la célula

    El núcleo de la célula

    El botánico escosés Robert Brown fue el primero en reconocer el NÚCLEO (un término que él introdujo) como un esencial contenedor de las células vivientes en el año1831
    A Robert Brown se le reconoce también como el botánico británico pionero en recolectar especímenes de plantas en la Australia de la primera mitad del siglo XIX.
    Brown descubrió el NÚCLEO de la célula y el movimiento browniano.
  • Hugo Von Mohl propuso que se llamara protoplasma al contenido celular.

    Hugo Von Mohl propuso que se llamara protoplasma al contenido celular.

    Sugirió el uso de la palabra protoplasma, donde el núcleo ya había sido identificado por Robert Brown (1773-1858) y otros ; y en 1844 von Mohl demostró que el protoplasma es la fuente de los movimientos, suscitando en ese tiempo, enorme interés; identificando (llamándolo 'utrículo vital') la membrana citoplasmática de las células vacuolares y es el primero en describir el comportamiento del protoplasma en la división celular.
  • Genética

    Genética

    Gregor Johann Mendel ( 1822-1884) a mendel sel conose como el padre de la genetica y realizo una serie de estudios con plantas para comprobar sus teorias y creo 3 leyes que aun se mantienen en la actualidad
  • Darwin hace pública su teoría sobre la evolución de las especies.

    Darwin hace pública su teoría sobre la evolución de las especies.

    En el Origen, Darwin utilizó la selección artificial como una analogía fundamental para la comprensión del mecanismo de la selección natural. La analogía de las técnicas agrícolas y ganaderas había sido ya utilizada por Lamarck como evidencia de la eficacia de su ley de uso y desuso de los órganos . También Darwin, instigado por John Herschel, encuentra en la analogía un gran aliado metodológico. La supervivencia del más fuerte “incluye no sólo la vida del individuo.
  • Mendel descubre en los guisantes las unidades fundamentales de la herencia

    Mendel descubre en los guisantes las unidades fundamentales de la herencia

    En experimentos de cruza realizados entre 1856 y 1863, Gregor Mendel trazó por primera vez los patrones hereditarios de ciertos rasgos en plantas de guisante y mostró que obedecían a reglas estadísticas sencillas. A pesar de que no todas las características muestran los patrones de la herencia mendeliana, su trabajo sirvió como prueba de que la aplicación de estadística a la herencia podía ser sumamente útil. A partir de esa época muchas formas más complejas de herencia han sido demostradas.
  • Creacion de la rama de la ecologia

    Creacion de la rama de la ecologia

    El término Ecología fue utilizado por primera vez por el zoólogo alemán Ernst Haeckel (1869), sin embargo, esta ciencia tiene sus orígenes en otras ciencias como son la biología, la geología y la evolución entre otras.
  • La división celular

    La división celular

    Walther Flemming cuidadosamente observa que las células de los animales se dividen en etapas y se llama al proceso de la mitosis. Eduard Strasburger independiente identifica un proceso similar de la división celular en las células vegetales.
  • Las células sexuales

    Las células sexuales

    August Weismann identifican que las células sexuales que han dividido de manera diferente a terminar con sólo la mitad de un conjunto cromosómico. Esta división muy especial de las células sexuales se denomina meiosis. . Weismann experimentos con la reproducción de medusas lo llevan a la conclusión de que las variaciones en el resultado de la descendencia de la unión de una sustancia de los padres. Se refiere a esta sustancia como "plasma germinal".
  • Hormonas

    Hormonas

    William H. Bayliss y Ernest H. Starling dar hormonas revelar su nombre y su función como mensajeros químicos. El equipo describe específicamente la secretina, una sustancia liberada en la sangre desde el duodeno (entre el estómago y el intestino delgado) que estimula la secreción de jugos digestivos del páncreas en el intestino.
  • Grupo sanguineo

    Grupo sanguineo

    En 1903 Karl Landsteiner Descubre los grupos sanguíneos ABO.
    Es un método para decirle cuál es el tipo específico de sangre que usted tiene. El tipo de sangre que usted tenga depende de si hay o no ciertas proteínas, llamadas antígenos, en sus glóbulos rojos.
    La sangre a menudo se clasifica de acuerdo con el sistema de tipificación ABO. Este método separa los tipos de sangre en cuatro categorías:
    • Tipo A
    • Tipo B
    • Tipo AB
    • Tipo O
  • James herrick describió la anemia de células falciformes.

    James herrick describió la anemia de células falciformes.

    Fue esta la primera vez que se asoció la irregularidad de la forma de los glóbulos rojos y se descubrió entonces la anemia drepanocítica o anemia por células falciformes. En 1922, Verne Mason denominó a esta enfermedad precisamente sickle-cell anemia, basado en la descripción de Ernest Irons en cuanto a la forma que adoptan los glóbulos rojos. Herrick publicó estos hallazgos con ilustraciones y la ayuda de otros recursos entonces disponibles.
  • Se descubre que los rayos X causan mutaciones genéticas

    Se descubre que los rayos X causan mutaciones genéticas

    Uno de los primeros mutagénicos conocidos, la radiación es un inductor fuerte de mutaciones. Diferentes tipos de radiación causan diferentes tipos de cambios genéticos. La radiación ultravioleta (UV) causa mutaciones en punto. Los rayos X pueden causar rompimientos en la doble hélice del ADN y así conllevar a translocaciones, inversiones y otros tipos de daños cromosomales. La exposición a los rayos UV bajo el sol han sido relacionados con el cáncer de la piel.
  • Microscopio electronico

    Microscopio electronico

    Este instrumento fue inventado en Alemania por el físico Ruska en 1931. La óptica electrónica había sido construida por el físico alemán Busch en 1924. El microscopio se patentó en 1932, un año más tarde Ruska y Knoll obtenían aumentos de 12.000 con una resolución de 40 nanómetros. Estos modelos experimentales eran aún muy imperfectos, y sólo después de la II Guerra Mundial se superaron los problemas técnicos del microscopio y de los cortes de tejido.
  • Ecosistemas

    Ecosistemas

    Arthur George Tansley monedas de los puentes plazo de los ecosistemas y con una sola mano-la biología de la ecología con la física, la química y otros campos de la ciencia que describe el medio ambiente. Un ecosistema se define como un conjunto dinámico y complejo que funciona como una unidad ecológica.
  • El Ciclo de Krebs

    El Ciclo de Krebs

    Hans Krebs identifica los pasos que la célula necesita para convertir los azúcares, grasas y proteínas en energía. También conocido como el ciclo del ácido cítrico, es una serie de reacciones químicas utilizando oxígeno como parte de la respiración celular. El ciclo contribuye a la descomposición de los carbohidratos, grasas y proteínas en dióxido de carbono y agua.
  • El ADN es identificado como la molécula genética

    El ADN es identificado como la molécula genética

    En los años 40 (19..), Oswald Avery, Colin MacLeod, y Maclyn McCarty revisaron el experimento de Griffith y concluyeron que el factor de transformación era el ADN. Oswald Avery demostró que el factor de transformación era el ADN repitiendo el trabajo de Griffith con el agregado de una enzima que destruía el ADN. Cuando Avery agregaba esta enzima, no observaba la transformación obtenida por Griffith. El concluyó que el material hereditario era ADN y no una proteína. Su evidencia era fuerte pero n
  • El código genético

    El código genético

    Los científicos Marshall Nirenberg, Har Gobind Khorana y otros investigadores, descifraron el código genético que utilizan todas las células vivas para traducir la serie de bases de su Ácido Desoxirribonucleico en instrucciones para la producción de proteínas
  • Archaea

    Archaea

    Carl Woese descubre que las bacterias no son los únicos seres unicelulares procariotas (organismos unicelulares sin núcleo) en la Tierra. Muchos de los organismos clasificados en el nuevo reino de las Archaea son extremófilos.
    Algunas viven a temperaturas muy altas o bajas y otras de alta salinidad, en aguas ácidas y aguas altamente alcalinas.
  • Insulina creada por una bacteria

    Insulina creada por una bacteria

    Un equipo de biólogos norteamericanos consiguió usar una bacteria llamada escherischia cofi, la cual se encuentra en el intestino humano, para producir una insulina idéntica a la elaborada por el cuerpo humano. La producción de la hormona sirvió fundamentalmente para el tratamiento de la diabetes.
  • PCR

    PCR

    (reacción en cadena de la polimerasa), que permite copiar genes específicos con gran rapidez. Es una técnica muy poderosa para producir millones de copias de una región específica de ADN, que permite analizarla tan rápido como se puede purificar una sustancia química. PCR ha sido el instrumento esencial en el desarrollo de técnicas de diagnóstico, medicina forense y la detección de genes asociados con errores innatos del metabolismo.
  • El primer tomate transgénico

    El primer tomate transgénico

    Apareció el primer alimento transgénico. El tomate "Flavr SVR" fue el primer vegetal modificado genéticamente para el consumo masivo, y que tenía como objetivo resistir más tiempo después de madurar, detalla el portal cienciapopular.com.
  • Investigadores, liderados por Ian Wilmut clonan al primer mamífero, la oveja Dolly.

    Investigadores, liderados por Ian Wilmut clonan al primer mamífero, la oveja Dolly.

    e la ubre de la madre de Dolly (la llamada original en el dibujo), los científicos sacaron una célula, que contiene todo el material genético (ADN) de la oveja adulta. Después, la otra oveja, a la que llamaremos oveja X, le extrajeron un óvulo, el cual serviría de célula receptora. Al óvulo se le sacó el núcleo, eliminando así el material genético de la oveja donante. Se extrajo el núcleo de la célula mamaria y, mediante impulsos eléctricos, se fusionó al óvulo sin núcleo de la oveja donante.
  • El genoma humano de los mexicanos

    El genoma humano de los mexicanos

    Se concluyó el mapa del genoma humano de los mexicanos, en el cual se menciona que los genes de la población de México son el resultado de una mezcla de 35 grupos étnicos y son distintos a los de Europa, Asia y África