Images (10)

EVENTOS IMPORTANTES DE LA BIOLOGIA

  • EL MICROSCOPIO

    EL MICROSCOPIO

    El microscopio fue inventado por un fabricante de anteojos de origen holandés, llamado Zaccharias Janssen, alrededor del año 1590. En 1655, el inglés Robert Hooke creó el primer microscopio compuesto, en el cual se utilizaban dos sistemas de lentes, las lentes oculares (u ocular) para visualizar y las lentes objetivos. Publicó Micrographia, el primer libro en el que se describían las observaciones de varios organismos realizadas a través de su microscopio
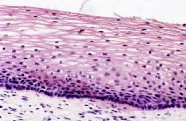
  • PANTEAMIENTO DE LA TEORÍA CELULAR

    PANTEAMIENTO DE LA TEORÍA CELULAR

    Robert Hooke utilizando un microscopio examinó una corteza de alcornoque y observó que la caparazón del corcho estaba formada por muchas diminutas cavidades, muy semejantes a los poros de una esponja, y les dio el nombre de células.
  • LA RESPIRACIÓN COMO VARIEDAD DE COMBUSTION

    LA RESPIRACIÓN COMO VARIEDAD DE COMBUSTION

    Una de las características de las cosas vivas es su facutad de metabolizar y llevar a cabo muchas reacciones químicas. Las ideas actuales acerca del metabolizmo nacieron en 1780 cuando Lavoiser y La Place demostraron que la respiracón era una variedad de combustión
  • BIOLOGÍA

    BIOLOGÍA

    Gottfried Treviranus y Jean Baptiste de Lamark de forma independiente amplian el concepto de BIOLOGIA
  • TEORÍA DE LA EVOLUCIÓN

    TEORÍA DE LA EVOLUCIÓN

    http://www.unav.es/cryf/darwin.html En este año Daewin comienza a publicar sus libros solbre sus teorías evolucionistas.
  • "Todos  los tejidos orgánicos son células globulosas"

    "Todos los tejidos orgánicos son células globulosas"

    Schleiden y Shwann, botánico y zoólogo alemanes, se consideran los autores de haber señalado que vegetales y animales son conjunto de células dispuestas según leyes bien definidas. Sin embargo, el biólogo frnacés Dutrochet definió claramente (1824) "Todos los tejidos organicos son células globulosas"
  • TEORIA CAPAS GERMINATIVAS

  • CREENCIA

    CREENCIA

    En esta fecha Martin Barry expresó su creencia en que los espermatozoides se unen al óvulo
  • SE FORMULAS LAS LEYES DE HERENCIA

    SE FORMULAS LAS LEYES DE HERENCIA

    En esta fecha el monje austriaco Johann Gregor Mendel, formula las leyes de la herencia al descubrir como las características de los padres son trasmitidas a sus hijos, y estas características son codificadas por los genes que son transmitidos de generación en generación.
  • ADN

    El ADN fue aislado y estudiado por primera vez por el Suizo Friedrich Miescher.
  • CROMATINA, MITOSIS Y EMIPIREMA

    CROMATINA, MITOSIS Y EMIPIREMA

    Walther Femming describe y propone los terminos COMATINA, MITOSIS Y ESPIREMA. Hce el primer recuento de cromosómico y describe la división longitudinal de los cromosomas.
  • CROMOSOMAS

    CROMOSOMAS

    Waldmeyer propuso el nombre de cromosomas (griego=cuerpo coloreado), aunque son incoloros.También,
    se comprobó que cada especie animal o planta, tiene un número característico y fijo de cromosomas, y que antes de
    la división y durante la mitosis, su número se duplica para que cada célula-hija tenga igual número de cromosomas que la célula-madre original.
  • ADENINA GUANINA CITOSINA TIAMINA

    ADENINA GUANINA CITOSINA TIAMINA

    El químico alemán Albrecht Kossel, hidrolizó el ácido nucleico, descubriendo la existencia de hidratos de carbono y de unos compuestos o bases nitrogenadas a las que dio los nombres de "adenina", "guanina", "citosina" y "timina".
  • PREMIO NOBEL DE MEDICINA

    PREMIO NOBEL DE MEDICINA

    Albrecht Kossel fue catedrático de Fisiología y uno de los primeros en aplicar los métodos de la Química Orgánica a la investigación de sistemas biológicos. En este año recibió el Premio Nobel de Medicina por sus estudios sobre las proteínas y, en particular, sobre los ácidos nucleicos.
  • LAAS VITAMINAS SON PRECURSRES DE COENZIMAS

    LAAS VITAMINAS SON PRECURSRES DE COENZIMAS

    El descubrimiento que se necesitaban, para la bena nutrición, otras sustancias además de sales, protínas, grasas y carbohidrátos Substancias que F.G. HOpkins llamó factores nutritivos accesoris y Casimir Funk, En 1911, bautizó con el nombre de VITAMINAS
  • LÁSER: EL NUEVO BISTURÍ

    LÁSER: EL NUEVO BISTURÍ

    En 1916 Albert Einstein estableció los fundamentos para el desarrollo del láser y, tras la Segunda Guerra Mundial, Willis Eugene Lamb y R.C. Rutherford, comprobaron definitivamente las teorías que se habían gestado sobre él.
    Hoy en día el láser es una herramienta fundamental en la investigación, la industria, las comunicaciones, la medicina, la impresión, la seguridad y el entretenimiento.
  • FRUTOS POR FECUNDACIÓN ARTIFICIAL

    FRUTOS POR FECUNDACIÓN ARTIFICIAL

    1.000 Años a.C los BAbilonios y los Egipios producen frutos por fecundación artificial.
  • ESTRUCTURA DEL ADN

    ESTRUCTURA DEL ADN

    James Watson y Francis Crick, determinaron la estructura tridimensional de uno de estos ácidos, concretamente del ácido desoxirribonucleico (ADN) dejaba claro el modo en que el ADN se podía “desenrollar” para que fuera posible su lectura o copia).
  • PREMIO NOBEL

    POr su notable descripción de la estructura molecular de las proteínas, el Doctor Linus C. Pauling recibió el premio Nobel de química en 1954. Las proteínas constituyen la base químa de la vida.
  • SEVERO OCHO ARN-POLIMERASA

    SEVERO OCHO ARN-POLIMERASA

    En 1955 Severo Ochoa descubre y aisla una enzima de una célula bacteriana de Escherichia coli, que él denomina polinucleótido-fosforilasa y que luego es conocida como ARN-polimerasa, cuya función catalítica es la síntesis de ARN (ácido ribonucleico), la molécula necesaria para la síntesis de proteínas. Con esa enzima, Ochoa consigue por vez primera la síntesis del ARN en el laboratorio, a partir de un sustrato adecuado de nucleótidos.
  • SPUTNIK

    SPUTNIK

    Tan solo un mes depués del lanzamiento espacial del primer satélite artificial, los sovuéticos estuvieran en condiciones de lanzar un satélite biológico, Sputnik 2. que era un embrión de nave espacial habitada por la perrita Laika, con aparatos que transmitian numerosos datos sobre su fisiología durante todo el vuelo, que duraría seis dias.
  • PROZAC: PASTILLAS DE LA ALERGRÍA

    PROZAC: PASTILLAS DE LA ALERGRÍA

    Pablo J. Patiño, director de fomento de investigación de Colciencias, "crearon un fármaco que, al aumentar la concentración de serotonina en ciertas zonas del cerebro, evitaba o disminuía la depresión anímica". En este momento su nombre genérico era fluoxetina. En 1975 fue comercialmente conocido como Prozac
  • PLANTAS TRANSGÉNICAS

    PLANTAS TRANSGÉNICAS

    En este año se produjo la primera planta transgénica y en 1994 se aprobó la comercialización del primer alimento modificado genéticamente
  • LA VÁLVULA DE HAKIM: TECNOLOGÍA COLOMBIANA PARA TRATAR LA HIDROCEFALIA

    LA VÁLVULA DE HAKIM: TECNOLOGÍA COLOMBIANA PARA TRATAR LA HIDROCEFALIA

    Desde 1986, una enfermedad que afecta a millones de personas en todo el mundo, dejó de ser un dolor de cabeza para los médicos, gracias a una pequeña válvula creada por un científico colombiano.
  • BIOLOGÍA COMPUTACIONAL:

    BIOLOGÍA COMPUTACIONAL:

    En 1990, cuando se dio inicio al Proyecto Genoma Humano, que buscaba hacer un mapa de los más de veinte mil genes de nuestra especie, se estimó que la labor sería terminada en 2005, pero dos años antes de la fecha de entrega los investigadores sorprendieron al mundo con el anuncio de que la tarea ya estaba completa. El uso de computadores permitió realizar este trabajo de investigación, en tanto los avances tecnológicos contribuyeron a su vez a que la labor se pudiera completar en un menor tiemp
  • CLONACIÓN DEL PRIMER MAMÍFERO

    CLONACIÓN DEL PRIMER MAMÍFERO

    FUé el primer mamífero clonado a partir de una célula adulta. Sus creadores feron ciemtíficos del instituto Roslin de Edimburgo. Su nacimento se anunción a los siete meses el 23 de FEbrero de 1997.
  • HEPSERA- MEDICAMENTO CONTRA LA HEPATITIS B

    HEPSERA- MEDICAMENTO CONTRA LA HEPATITIS B

    En 2002, surgió del laboratorio del mismo científico - del químico Antonín Holý - un medicamento completamente nuevo contra la hepatitis B. De este tipo de la hepatitis sufre más de 300 millones de personas en el mundo, da las cuales un millón de ellos no sobrevive esta enfermedad.
  • FALLECIMIENTO DE EL PRIMER MAMIMERO CLONADO

    FALLECIMIENTO DE EL PRIMER MAMIMERO CLONADO

    En esta fecha el primer mamifero clonado (Dolly) fué sacrificada ya que padecia una enfermedad progresiva pulmonar.
  • TRUVADA- ACTUALMENTE MEDIACAMENTO MÁS EFICAZ CONTRE EL SIDA

    TRUVADA- ACTUALMENTE MEDIACAMENTO MÁS EFICAZ CONTRE EL SIDA

    El químico Antonín Holý del Instituto de la Química y Bioquímica de la Academia de las Ciencias de la República Checa presentó el resultado de su investigación realizada en colaboración con los colegas estadounitenses. Se trata de un medicamento que prolonga considerablemente la vida a los pacientes que son afectados por SIDA. Causa mucho menos efectos secundarios y en algunos casos substuituye hasta a 13 píldoras diferentes, que tenían que tomar los enfermos.
  • CIRCULACIÓN DE LA SANGRE

    CIRCULACIÓN DE LA SANGRE