Presentación

DESARROLLO EMBRIONARIO DEL OJO

  • 3° Semana
    1 CE

    3° Semana

    DESARROLLO DE LA RETINA
    - Se constata la presencia de una membrana basal en contacto con el epitelio pigmentario. Esta membrana basal rodea a la vesícula óptica en el curso del desarrollo y será la primera capa de la membrana de Bruch. En breve tiempo, aparecerá la capa de colágeno elaborada por los fibroblastos vecinos que separa el epitelio pigmentario y la capa coriocapilar.
  • 4° Semana
    2

    4° Semana

    • Aparece en el neuroectodermo un engrosamiento a cada lado de la extremidad anterior de la placa neural, "campo o área ocular" que comienza a evaginarse formando el surco óptico, (embriones de 3 mm de longitud).
    • Día 25: Se completa el cierre del neuroporo anterior, el esbozo óptico aparece como un divertículo lateral del prosencéfalo, denominado vesícula óptica.
    DESARROLLO DE LA MUSCULATURA EXTRÍNSECA
    - Dia 26: Aparacen los músculos inervados por el tercer par craneal.
  • 4° Semana | 28 Días
    3

    4° Semana | 28 Días

    • Esquema del sistema nervioso central a los 28 días.
    • La formación de la hendidura embrionaria conlleva que tanto la capa interna como la externa de la cúpula óptica se continúen con las correspondientes del pedículo óptico, en la fase de 6 mm de longitud GL.
    DESARROLLO DE LA MUSCULATURA EXTRÍNSECA
    - Día 27: Aparece el recto lateral, inervado por el sexto par craneal.
    - Día 29: Aparece el oblicuo superior.
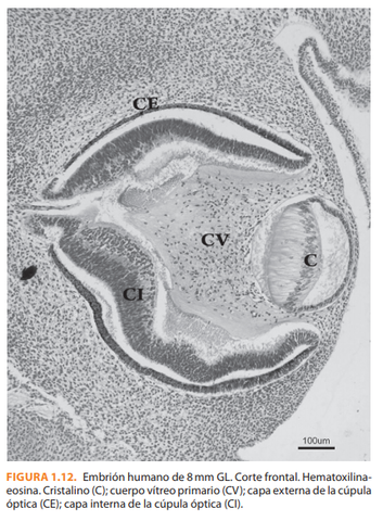
  • 5° Semana | 32 Días
    4

    5° Semana | 32 Días

    DESARROLLO DEL CRISTALINO
    - La placoda cristaliniana se invagina, hasta que un día más tarde se desprende de la superficie ectodérmica, formando la vesícula cristaliniana. Inicialmente ésta presenta una cavidad en su interior. Este fenómeno coincide con la aparición del cuerpo vítreo primario, entre la vesícula y la cúpula óptica.
  • 5° Semana | 35 Días
    5

    5° Semana | 35 Días

    DESARROLLO DEL CRISTALINO
    - Las fibras de la pared profunda de la vesícula cristaliniana se diferencian para formar las fibras primarias del cristalino, que se orientan anteroposterormente y son muy transparentes. De esta forma, se va obliterando la cavidad de la vesícula cristaliniana.
  • 6° Semana
    6

    6° Semana

    DESARROLLO DEL IRIS Y CUERPO CILIAR
    - El ángulo irido-corneal se esboza.
  • 6° Semana | 37 Días
    7

    6° Semana | 37 Días

    DESARROLLO DEL NERVIO ÓPTICO
    - Comienza el cierre de la hendidura embrionaria, debido al crecimiento de los bordes del pedículo óptico. Inicialmente se fusiona la porción intermedia y se extiende en sentido proximal y distal, hasta que a los 20 mm de longitud GL queda totalmente obliterada.
  • 7° Semana
    8

    7° Semana

    DESARROLLO DEL NERVIO ÓPTICO
    - Durante la semana 7 del desarrollo, se observa el quiasma óptico. En la región de la futura papila aparece una acumulación de glioblastos, esbozo de la membrana limitante de Elschnig y del menisco central de Kuhnt, separando las fibras del nervio óptico del vítreo secundario.
  • 7° Semana | 44 Días
    9

    7° Semana | 44 Días

    DESARROLLO DEL NERVIO ÓPTICO
    - Los axones de las células ganglionares de la retina neurosensorial crecen hacia el pedículo o tallo óptico. De esta manera, la cavidad del tallo se va obliterando. La aparición de los axones en la futura papila se observa en embriones de 16 mm de longitud GL.
    - Las células del pedículo óptico rodean cranealmente a estas
    fibras y a la arteria hialoidea.
  • 8° Semana
    10

    8° Semana

    DESARROLLO DEL NERVIO ÓPTICO
    - El nervio óptico presenta un trayecto que va desde la parte posterior del globo ocular hasta el quiasma. Los glioblastos se acumulan en la papila, separan las fibras nerviosas en la región coroidea, forman una limitante precisa y en el trayecto infraorbitario, separándolo del mesénquima vecino.
    DESARROLLO DEL C. CILIAR E IRIS
    - Al final del período embrionario comienza a formarse el ligamento suspensorio del cristalino.
  • 8° Semana | 51 Días
    11

    8° Semana | 51 Días

    DESARROLLO DEL NERVIO ÓPTICO
    - A los 23 mm de longitud GL, la arteria hialoidea presenta en su inicio de recorrido intravítreo una lámina limitante de glioblastos (papila de Bergmeister).
    DESARROLLO DEL CUERPO VÍTREO
    - Al comienzo del período fetal, gruesas fibras de la membrana limitante interna de la retina constituyen el cuerpo vítreo terciario.
  • 9° Semana
    12

    9° Semana

    DESARROLLO DE LOS ANEXOS DEL GLOBO OCULAR
    - En el aparato excretor lagrimal se determinan tres fases de desarrollo: a) estadio de formación de la lámina lagrimal (estadios 16-18 de la Carnegie); b) estadio de la cuerda lagrimal (estadios 19-23 de la Carnegie), y c) estadio de maduración del sistema excretor lagrimal, a partir de la novena semana del desarrollo, inicio del período fetal.
  • 10° Semana
    13

    10° Semana

    DESARROLLO DEL NERVIO ÓPTICO
    - Durante el período fetal, el número de axones se incrementa primero rápidamente, de 1,9 millones.
  • 12° Semana
    14

    12° Semana

    DESARROLLO DEL NERVIO ÓPTICO
    - En la región posterior del nervio (retroescleral) aparecen
    numerosos vasos y tejido conjuntivo que penetra desde la envoltura pial.
  • 16° Semana
    15

    16° Semana

    DESARROLLO DEL NERVIO ÓPTICO
    - Durante el período fetal, el número de axones se incrementa hasta 3,7 millones.
  • 33° Semana
    16

    33° Semana

    DESARROLLO DEL NERVIO ÓPTICO
    - Durante el período fetal, el número de axones desciende a 1,1 millones.
  • 3° Mes
    17

    3° Mes

    DESARROLLO DEL IRIS Y CUERPOCILIAR
    - En la región del ángulo irido-corneal aparecen el canal de Schlemm.
  • 4° Mes
    18

    4° Mes

    DESARROLLO DEL NERVIO ÓPTICO
    - A partir del cuarto mes de desarrollo comienza la regresión de la arteria hialoidea.
    DESARROLLO DEL IRIS Y CUERPO CILIAR
    - Aparece el círculo arterial del iris.
  • 5° Mes
    19

    5° Mes

    DESARROLLO DEL IRIS Y CUERPO CILIAR
    - Aparece el ángulo relleno de tejido mesodérmico en el que podemos distinguir una parte externa condensada, que se continúa con la membrana de Descemet, y representa la trabécula córneo-escleral. La parte interna se continúa con el iris. DESARROLLO DEL IRIS Y CUERPO CILIAR
    - Aparece la porción longitudinal del músculociliar.
  • 6° Mes
    20

    6° Mes

    DESARROLLO DEL NERVIO ÓPTICO
    - Se completa la vascularización del nervio óptico y los vasos que forman el círculo arterial de Zinn-Haller muestran anastomosis.
  • 7° Mes
    21

    7° Mes

    DESARROLLO DEL NERVIO ÓPTICO
    - Se forma la fibrosa de la lámina cribosa a la vez que comienzan a desarrollarse los vasos retinianos. En este estadio, el proceso de mielinización alcanza el quiasma y avanza en sentido distal hacia el globo ocular, hallándose el noveno mes totalmente mielinizadas las fibras del nervio hasta la lámina cribosa.
  • 9° Mes
    22

    9° Mes

    DESARROLLO DE LA CÓRNEA
    - Comienza a desaparecer la membrana pupilar y, de esta manera, se comunican las cámaras anterior y posterior del ojo.