Whatsapp image 2018 09 10 at 10.22.07

Morfologia e Fisiologia Animal I

  • Informações do aluno

    Mariana Philereno
    Ciências Biológicas
    Horário: 21
  • Introdução

    Introdução

    O corpo biológico é dividido em diversos níveis de organização, sendo eles o celular, tecidual, orgânico, sistêmico e de organismo. Nas aulas que seguem foram estudados o nível tecidual, através do uso de microscopia ótica e lâminas previamente preparadas.
  • Introdução

    Introdução

    Dentre as funções realizadas pelo corpo biológico, o tecido epitelial fica responsável pela proteção e revestimento da superfície externa e das cavidades internas, absorção e movimentação de substâncias e secreções; o epitelial glandular constitui as glândulas exócrinas e endócrinas como lubrificação de cavidades, digestão, nutrição, regulação do metabolismo e integração dos órgãos.
  • Introdução

    Introdução

    O tecido nervoso é dividido em Sistema Nervoso Central (SNC) e Sistema Nervoso Periférico (SNP), o SNC é o encéfalo e a medula espinhal, já o SNP são os nervos cranianos, espinhais e gânglios. Este sistema é responsável pela função sensitiva, que recebe informações dos ambientes externos e internos, integradora, que analisa as informações recebidas e motora, que responde de forma adequada a necessidades informadas.
  • Introdução

    Introdução

    No que se refere ao músculo, o tecido pode ser esquelético, cardíaco ou liso, o primeiro recebe sinais do sistema nervoso somático, ou seja, movimentos voluntários, e os outros dois do sistema nervoso autônomo, com movimentos involuntários. Todos os três possuem diferentes capacidades de regeneração, o liso se regenera rapidamente, o esquelético possui baixa capacidade e o cardíaco não se regenera de forma alguma.
  • Introdução

    Introdução

    No tecido conjuntivo há associações com os outros três tipos, o muscular, epitelial e nervoso, e esse é amplamente distribuído. Ele sustenta tecidos e órgãos através do preenchimento de seus espaços, transporta nutrientes através dos vasos sanguíneos, armazena água, íons e lipídeos, contém células de defesa e é responsável pela reparação de órgãos através da formação de cicatrizes.
    Todos os tecidos mencionados estão exemplificados na fotografia das lâminas a seguir.
  • Aula 1: Tecido Epitelial de Revestimento

    Aula 1: Tecido Epitelial de Revestimento

    Bexiga Urinária (lâmina 30):
    1- Tecido muscular (fibras musculares)
    2- Tecido conjuntivo de preenchimento Coloração: Tricômica (Masson/ Goldner)
  • Aula 1

    Aula 1

    Bexiga Urinária (Lâmina 30):
    1- Tecido epitelial de transição
    2- Tecido conjuntivo de preenchimento
    3- Cavidade interna Coloração: Masson/ Goldner
  • Aula 1

    Aula 1

    Bexiga Urinária (Lâmina 30):
    1- Tecido epitelial
    2- Tecido conjuntivo de preenchimento Coloração: Masson/ Goldner
  • Aula 1

    Aula 1

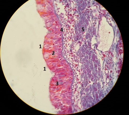
    Traqueia (Lâmina 9):
    1- Cílios
    2- Tecido epitelial pseudoestratificado
    3- Células produtoras de secreção (azuladas)
    4- Membrana basal (faixa azul entre o epitélio e o conjuntivo)
    5- Tecido conjuntivo Coloração: H/E
  • Aula 1

    Aula 1

    Traqueia (Lâmina 9):
    1- Tecido Cartilaginoso
    2- Tecido conjuntivo
    3- Tecido epitelial Coloração:
    Dicrômica (Hematoxilina/ eosina)
  • Aula 1

    Aula 1

    Rim (Lâmina 29a):
    1- Tecido epitelial de revestimento cúbico simples
    2- Tecido epitelial de revestimento pavimentoso simples Coloração: H/E
  • Aula 1

    Aula 1

    Rim (Lâmina 29a):
    1- Corpúsculo renal Coloração: H/E
  • Aula 2: Tecido Epitelial Glandular

    Aula 2: Tecido Epitelial Glandular

    Tegumento de mamífero, couro cabeludo (Lâmina 5a): 1- Tecido epitelial estratificado pavimentoso com núcleos achatados
    2- Tecido epitelial com núcleos cúbicos e ovais
    3- Tecido conjuntivo
    4- Capilares sanguíneos (pontos em laranja)
    5- Fibras alongadas (em rosa)
  • Aula 2

    Aula 2

    Tegumento de mamífero, couro cabeludo (Lâmina 5a): 1- Tecido epitelial
    2- Folículos (produzem os pelos)
    3- Glândulas sebáceas, cheias de grânulos, junto aos folículos
  • Aula 2

    Aula 2

    Intestino grosso (Lâmina 21a): 1- Membrana mucosa
    2- Camada muscular
  • Aula 2

    Aula 2

    Intestino grosso (Lâmina 21a): 1- Glândula tubulosa simples
    2- Tecido epitelial de revestimento
  • Aula 3: Glândulas Endócrinas

    Aula 3: Glândulas Endócrinas

    Hipófise humana (Lâmina 25): 1- Pars intermediária
    2- Adeno-hipófise
    3- Neuro-hipófise
    4- Capilares sanguíneos
  • Aula 3

    Aula 3

    Hipófise humana (Lâmina 25):
    Adeno-hipófise (glândula cordonal):
    1- Basófilas
    2- Acidófilas
    3- Capilares sanguíeos
  • Aula 3

    Aula 3

    Hipófise humana (Lâmina 25):
    Neuro-hipófise (glândulas filamentosa):
    1- Capilares sanguíneos
  • Aula 3

    Aula 3

    Glândula supra-renal (Lâmina 38): 1- Cápsula da adrenal
    2- Zona glomerulosa do córtex
  • Aula 3

    Aula 3

    Glândula supra-renal (Lâmina 38): 1- Zona fasciculada do córtex
    2- Zona reticulada do córtex
    3- Capilar sanguíneo
  • Aula 3

    Aula 3

    Glândula supra-renal (Lâmina 38): 1- Medula
    2- Capilar sanguíneo
  • Aula 3

    Aula 3

    Glândula Tireóide humana (Lâmina 26): 1- Vesícula
    2- Colóide
    3- Células foliculares formando tecido epitelial simples
    4- Células parafoliculares
    5- Ponto de baixa concentração de hormônios
    6- Média concentração de hormônio
    7- Alta concentração de hormônio
    8- Bolhas, pontos de absorção
  • Aula 4: Tecido Nervoso

    Aula 4: Tecido Nervoso

    Língua (Lâmina 17a): 1- Tecido epitelial estratificado pavimentoso
    2- Queratina
    3- Mielina (espaço em branco)
  • Aula 4

    Aula 4

    Língua (Lâmina 17a): 1- Tecido muscular esquelético
    2- Tecido conjuntivo
    3- Células de Shaw
    4- Nervos
  • Aula 4

    Aula 4

    Cerebelo (Lâmina 36b): 1- Tecido nervoso
    2- Vasos sanguíneos (círculos brancos)
  • Aula 4

    Aula 4

    Cerebelo (Lâmina 36b): 1- Substância branca
    2- Substância cinzenta
    3- Axônios
    4- Neurônios
    5- Núcleos da microglia (achatados)
    6- Núcleos da neuroglia- astrócitos (redondos)
  • Aula 5: Tecido Muscular

    Aula 5: Tecido Muscular

    Língua (Lâmina 17b): 1- Tecido epitelial pavimentoso estratificado
    2- Tecido conjuntivo entre o epitélio e o músculo
    3- Tecido muscular
    4- Papila lingual
  • Aula 5

    Aula 5

    Língua (17b): 1- Fibras musculares alongadas (células estriadas)
    2- Nervo cortado transversalmente
  • Aula 5

    Aula 5

    Músculo cardíaco (Lâmina 14): 1- Tecido muscular
    2- Tecido conjuntivo
    3- Capilares sanguíneos
    4- Capilar sanguíneo com sangue
  • Aula 6: Tecido Conjuntivo

    Aula 6: Tecido Conjuntivo

    Tendão (Lâmina 6): 1- Fibras colágenas (em branco)
    2- Tecido conjuntivo denso (rosa)
  • Aula 6

    Aula 6

    Artéria elástica (Lâmina 7a): 1- Fibras elásticas onduladas
  • Aula 6

    Aula 6

    Artéria elástica (Lâmina 7a): 1- Fragmento da parede de um vaso sanguíneo
  • Aula 6

    Aula 6

    Esôfago (Lâmina 15a): 1- Epitélio pavimentoso estratificado não queratinizado
    2- Tecido muscular da mucosa
    3- Glândulas esofágicas
  • Aula 6

    Aula 6

    Esôfago (Lâmina 15a): 1- Tecido conjuntivo frouxo
    2- Célula do tecido adiposo associada ao tecido conjuntivo frouxo
  • Conclusão

    Conclusão

    O presente atlas histológico teve como objetivo reunir todas as lâminas observadas que abrangessem o estudo do início do semestre até o momento. As lâminas foram analisadas através de microscopia óptica, as estruturas foram nomeadas em aula e complementadas com a literatura sugerida.
  • Conclusão

    Conclusão

    O trabalho agiu como um facilitador para o entendimento do conteúdo e fixação das estruturas apresentadas em cada tecido. Houveram algumas dificuldades de observação ao longo deste, como para as estruturas do nervoso, que se mostraram complicadas de encontrar, provavelmente devido a forma pequena e aglutinada.